大多數人知道,維他命分為脂溶性和水溶性兩大類,而普遍的觀念是,水溶性維他命會經由尿液排出體外,所以較不會有服用過量而中毒的風險。但是,雖然風險的確是較低,還是存在的。詳情請看:
維他命的實話與胡說
濫用維他命 D 導致急性腎衰竭(註:維他命D是脂溶性,但這篇跟本文都是關於急性腎損傷)

重量級醫學期刊Annals of Internal Medicine (內科年鑑)大前天(2024-9-3)發表Vitamin C–Induced Oxalate Nephropathy: An Underappreciated Consequence of Dietary Supplements(維他命 C 誘發的草酸腎病:膳食補充劑的一個未被充分認識的後果)。作者共有4位, Kristine Gapuz和Mehak Qureshi是腎臟科醫師,Andreas Friedl和Jerrold Levine是病理科醫師。
文摘
草酸鹽腎病變是急性腎損傷的一種罕見且經常被忽視的病因。詳細的用藥史,尤其是膳食補充劑,包括維他命C 和薑黃,這兩種藥物都可能導致草酸鹽在腎臟沉積,對於診斷這種罕見但可能有逐漸上升趨勢的急性腎損傷病因至關重要。在這裡,我們報告一例維他命 C 誘發的草酸鹽腎臟病,導致急性腎損傷,需要血液透析(洗腎)。
病例報告
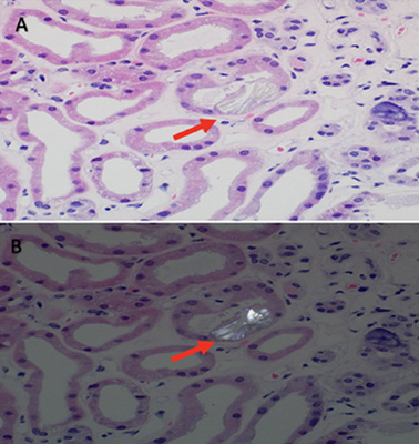
一名 74 歲男性先是出現類似病毒感染的症狀,然後發生2 週的體液過多和尿毒症。他的症狀還包括高血壓,呼吸音減弱,雙側下肢水腫,撲翼樣震顫(asterixis),嚴重認知障礙。值得注意的病史是 40 年的第 2 型糖尿病控制良好,但曾發生視網膜病變和神經病變這兩個併發症。實驗室檢查結果顯示,肌酸酐值為1432.4 mmol/L,血中尿素氮濃度為53.2 mmol/L。 1 年前,他患有腎臟病下糖尿病腎小球疾病,基線肌酸酐水平為 1 mg/dL。糖化血紅素為 6.6%。尿液分析顯示蛋白尿(>600 mg/dL)、鏡下血尿(26-50 個紅血球/hpf)和膿尿(11-25 個白血球/hpf)。點尿(Spot urine)檢查發現蛋白質和白蛋白與肌酸酐的比值分別為 2605 mg/g 和 1793 mg/g。除低滴度抗核抗體和抗雙股 DNA 外,血清學檢查均為陰性。腹膜後超音波掃描未見異常。鑑於尿毒症和無尿(anuric)急性腎損傷,開始進行血液透析(洗腎)。由於急性腎損傷發生的速度很快,因此對他進行了腎臟活檢。研究結果包括一些腎小球出現糖尿病結節性腎小球硬化,伴隨系膜基質增加和腎小球基底膜增厚,約50%的間質纖維化和腎小管脫落,動脈和小動脈硬化,以及草酸鈣沉積引起的急性腎小管損傷(圖1,A和B)。經詢問,患者自述服用維他命C,每天2克,已有30多年的歷史。由於入院後 1 週多才取得活檢結果,因此未檢查維他命C 和草酸水平。一個月後,他的腎臟功能恢復,血液透析停止,肌酸酐水平穩定在254.65 mmol/L。

圖 1. 左腎切片(蘇木精-伊紅染色;原始放大倍率,×400)顯示管腔 (A) 和偏振光 (B) 下有草酸鈣晶體(箭頭)。
林教授您好,我是您專欄忠實讀者,請教長期吃維他命B群是否也會有副作用?非常感謝!
讚讚
https://www.healthline.com/nutrition/vitamin-b-complex#side-effects
Potential side effects
Since B vitamins are water-soluble, it’s unlikely that you will consume too much of these nutrients through food or by taking a B-complex supplement as directed.
However, taking supplements that contain excessively high and unnecessary quantities of B vitamins could lead to serious side effects.
High doses of supplemental B3 (niacin) may lead to vomiting, high blood sugar levels, skin flushing, and even liver damage.
Additionally, high doses of B6 can cause nerve damage, light sensitivity, and painful skin lesions.
讚Liked by 2 people
搜尋教授的文章, 這篇有提到草酸鹽的結晶, 導致急性腎損傷
請問飲食中的草酸怎麼去應對, 若不去查找, 大概沒法想像, 綠色葉菜, 大都非常高, 辛香料也非常高, 堅果的杏仁, 腰果, 花生, 或是素食者常吃的大豆, 有些文章建議一天不要超過 50mg 但日常三餐, 一天吃下來, 可能會到 1000 mg 以上,
有的文章說草酸是人體重要的營養素, 其他的文章, 大都只提到和鈣結合成草酸鈣, 排出體外, 實在不知吃一盤炒波菜 會怎麼樣, 對腎臟的危害如何請教授解惑
讚讚
https://professorlin.com/2025/03/16/%e8%8f%a0%e8%8f%9c%e5%b0%8d%e8%85%8e%e8%87%9f%e7%9a%84%e5%8d%b1%e5%ae%b3/
讚讚